Homem vai parar no hospital por motivo inusitado; objeto quebrou e….v3ja mais
Homem Sofre Fratura no Pênis Após Inserir Escova de Dentes
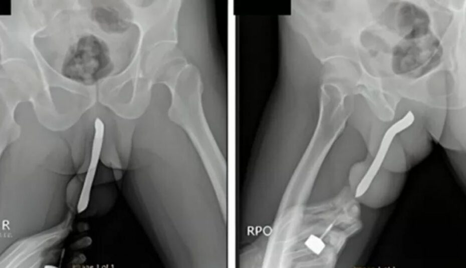
Um caso inusitado chamou a atenção da comunidade médica: um homem de 43 anos sofreu uma fratura no pênis após inserir uma escova de dentes no órgão durante uma tentativa de satisfação sexual. O incidente foi relatado em um estudo publicado recentemente e expõe os riscos de práticas sexuais extremas. O paciente, que não teve sua identidade revelada, procurou atendimento médico aproximadamente doze horas após o ocorrido, já apresentando sinais preocupantes como dor intensa, inchaço e hematomas.
Histórico de Práticas Perigosas
O mais surpreendente é que essa não foi a primeira vez que o homem se envolveu nesse tipo de comportamento. Segundo o relatório médico, ele possuía um histórico de autoinserção de escovas de dentes no dorso e ventre do pênis desde 2017. Durante o atendimento, exames confirmaram a presença do objeto quebrado dentro do canal urinário, exigindo uma cirurgia de remoção para evitar danos mais graves. Após o procedimento bem-sucedido, ele permaneceu internado por três dias antes de receber alta.
Recuperação e Reflexão Sobre Riscos
No mês seguinte, o paciente retornou para uma consulta de acompanhamento e relatou estar totalmente recuperado, sem deformidades ou sequelas aparentes, além de continuar sua vida sexual normalmente. No entanto, o caso destaca os perigos das práticas sexuais arriscadas, que podem resultar em sérias complicações, incluindo fraturas, infecções e danos permanentes aos órgãos internos.
Especialistas alertam sobre a importância da educação sexual e da conscientização sobre métodos seguros de prazer, para evitar episódios semelhantes. A rápida intervenção médica foi essencial para a recuperação do paciente, reforçando a necessidade de buscar ajuda profissional imediata em situações de risco.
Esse incidente serve como um alerta sobre os limites do prazer e a importância da segurança em práticas íntimas, para evitar danos irreversíveis e garantir uma vida sexual saudável.